网站首页 / 吃瓜热榜 第5页
  • admin
    发布了文章 2026-01-27

    成人围兜内衣怎么穿视频

    你有没有想过,穿围兜内衣其实也是一种时尚的潮流呢?没错,就是那种看起来有点像儿童围裙,但其实是成人专用的内衣。最近,网上流行起了“成人围兜内衣怎么穿视频”,快来跟我一起看看吧!一、什么是成人围兜内衣?成人围兜内衣,顾名思义,...

    • 成人围兜内衣怎么穿视频
    • 成人围兜内衣怎么穿视频
    • 成人围兜内衣怎么穿视频
  • admin
    发布了文章 2026-01-26

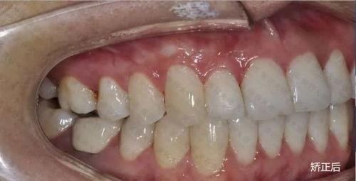
    成人矫正不拔牙案例视频,不拔牙案例揭秘

    你知道吗?现在很多人都在关注一个话题——成人矫正不拔牙案例视频。没错,就是那种让你看了之后,仿佛自己也站在了牙医诊所的椅子上,感受着矫正的神奇力量。今天,就让我带你一起走进这个奇妙的世界,看看那些不拔牙也能矫正牙齿的神奇案例...

    • 成人矫正不拔牙案例视频,不拔牙案例揭秘
    • 成人矫正不拔牙案例视频,不拔牙案例揭秘
    • 成人矫正不拔牙案例视频,不拔牙案例揭秘
  • admin
    发布了文章 2026-01-26

    山东成人游泳比赛视频,山东成人游泳比赛精彩瞬间大盘点

    你有没有看过山东成人游泳比赛的视频?那场面,那激情,简直让人热血沸腾!今天,就让我带你一起回顾一下这场精彩纷呈的比赛,感受一下游泳的魅力吧!一、比赛现场,激情四溢那天,山东某游泳馆内人声鼎沸,气氛热烈。来自全省各地的游泳爱好...

    • 山东成人游泳比赛视频,山东成人游泳比赛精彩瞬间大盘点
    • 山东成人游泳比赛视频,山东成人游泳比赛精彩瞬间大盘点
    • 山东成人游泳比赛视频,山东成人游泳比赛精彩瞬间大盘点
  • admin
    发布了文章 2026-01-26

    成人学生演奏笛子视频

    你有没有想过,在这个信息爆炸的时代,我们竟然可以通过网络看到各种各样的人,做着各种各样的事情?这不,最近我在网上发现了一段特别有趣的视频,一个成人学生正在用笛子演奏,那画面,那音乐,简直让人陶醉。今天,就让我带你一起来感受一...

    • 成人学生演奏笛子视频
    • 成人学生演奏笛子视频
    • 成人学生演奏笛子视频
  • admin
    发布了文章 2026-01-23

    成人花球操视频网站,探索热门成人花球操视频网站全攻略

    你有没有想过,在忙碌的生活中,找点乐子放松一下呢?今天,我要给你介绍一个特别有趣的地方——成人花球操视频网站。没错,就是你想的那样,这里不仅有花球,还有各种有趣的舞蹈,让你在欢笑中锻炼身体,释放压力。快来跟我一起探索这个神奇...

    • 成人花球操视频网站,探索热门成人花球操视频网站全攻略
    • 成人花球操视频网站,探索热门成人花球操视频网站全攻略
    • 成人花球操视频网站,探索热门成人花球操视频网站全攻略
  • admin
    发布了文章 2026-01-23

    防水罩衣成人系带视频,视频教学助您一臂之力

    你有没有想过,在厨房里忙碌一番后,衣服上沾满了油渍和汤汁,是不是特别头疼?别急,今天我要给你介绍一个神器——防水罩衣,还有它的小秘密——成人系带设计。让我们一起来看看这个神奇的防水罩衣是如何拯救厨房“战场”的吧!一、防水罩衣...

    • 防水罩衣成人系带视频,视频教学助您一臂之力
    • 防水罩衣成人系带视频,视频教学助您一臂之力
    • 防水罩衣成人系带视频,视频教学助您一臂之力
  • admin
    发布了文章 2025-08-18

    有哪些潜规则是中国人共识的 社会热点话题2025,社会热点话题下的共识解析

    你知道吗?在我们这个神奇的国度,有些潜规则就像空气一样,无处不在,却又让人难以捉摸。它们或许不是明文规定的,但却在无形中影响着我们的日常生活。今天,就让我带你一探究竟,看看那些中国人共识的潜规则都有哪些吧!一、职场潜规则:低...

    • 有哪些潜规则是中国人共识的 社会热点话题2025,社会热点话题下的共识解析
    • 有哪些潜规则是中国人共识的 社会热点话题2025,社会热点话题下的共识解析
    • 有哪些潜规则是中国人共识的 社会热点话题2025,社会热点话题下的共识解析
  • admin
    发布了文章 2025-08-17

    明星资讯明星新闻,最新明星资讯大盘点

    你知道吗?最近娱乐圈可是热闹非凡,各种明星资讯和新闻层出不穷,让人眼花缭乱。今天,我就来给你好好盘点让你一网打尽这些新鲜事儿!明星恋情大揭秘最近,娱乐圈的情侣们可是频频上热搜。首先,我们要说的就是当红小花旦小A和她的男友B。...

    • 明星资讯明星新闻,最新明星资讯大盘点
    • 明星资讯明星新闻,最新明星资讯大盘点
    • 明星资讯明星新闻,最新明星资讯大盘点
  • admin
    发布了文章 2025-08-16

    潜规则的读音,潜规则下的职场生存智慧

    亲爱的读者,你是否曾在某个瞬间,对某个词语的读音感到好奇,却又难以启齿去询问?今天,就让我带你一起揭开“潜规则”这个词语读音的神秘面纱吧!一、潜规则的由来“潜规则”这个词语,源自于我国古代的“潜台词”。所谓“潜台词”,就是指...

    • 潜规则的读音,潜规则下的职场生存智慧
    • 潜规则的读音,潜规则下的职场生存智慧
    • 潜规则的读音,潜规则下的职场生存智慧
  • admin
    发布了文章 2025-08-16

    网红好看的视频吃瓜,一场视觉与味蕾的双重盛宴

    你有没有发现,最近网上那些网红们的视频简直让人停不下来啊!一个个镜头下的美食,吃得那叫一个香,看得我都忍不住咽口水了。今天,就让我带你一起走进这个“吃瓜”的世界,看看这些网红们是如何用镜头展示他们的美食生活的吧!一、镜头下的...

    • 网红好看的视频吃瓜,一场视觉与味蕾的双重盛宴
    • 网红好看的视频吃瓜,一场视觉与味蕾的双重盛宴
    • 网红好看的视频吃瓜,一场视觉与味蕾的双重盛宴
1 2 3 4 5